Hombre descubre un parasito en su cerebro por que “veía en mosaico”
La Chispa trae noticias del mundo médico con un caso insólito que ha sorprendido a expertos. Un hombree descubre un parasito en su cerebro después de experimentar alteraciones visuales extremas. El señor Li, residente de Hunan, China, comenzó a notar objetos flotando en su visión como si fueran un “mosaico”. Durante más de un año, los síntomas fueron leves, pero finalmente se detectó un parásito vivo de 18 cm, un hallazgo que alarmó a la comunidad médica.
Síntomas iniciales y evolución del parásito
En abril del año pasado, Li empezó a notar molestias en los ojos y patrones flotantes en su visión. Preocupado, acudió a un examen ocular cuyos resultados fueron normales. Aunque persistían los síntomas, su vida diaria no se vio afectada y decidió no buscar tratamiento adicional.
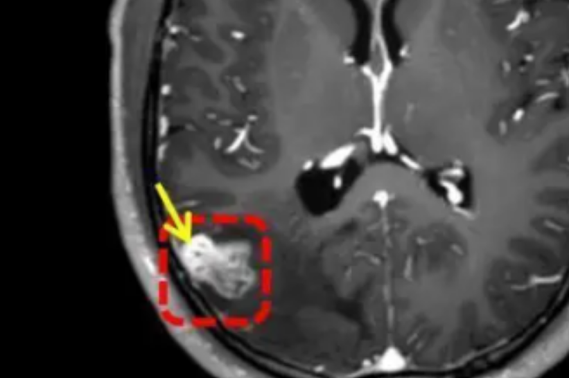
A finales de julio, los síntomas se intensificaron: desmayos, convulsiones, rigidez y espuma en la boca. La resonancia magnética reveló un objeto extraño en su cerebro, confirmando que el parásito había permanecido latente durante años antes de desencadenar complicaciones severas.

Diagnóstico y tratamiento exitoso
Los médicos confirmaron que el hallazgo era un parásito de 18 cm, identificado como Taenia solium, la famosa tenia del cerdo. Para extraerlo, realizaron una craneotomía que resultó exitosa. Tras diez días de observación, Li fue dado de alta en buen estado. Este caso demuestra la gravedad que puede tener ingerir alimentos sin el tratamiento adecuado.
Factores de riesgo y prevención
Li recordó que años atrás había consumido hiel (bilis) de serpiente cruda, práctica que probablemente facilitó la infección. Los especialistas enfatizan tres medidas de prevención:
-
No beber agua sin tratar.
-
Evitar consumir carne cruda.
-
No aplicar carne cruda sobre heridas abiertas.

Seguir estas recomendaciones y acudir al médico ante cualquier síntoma inusual reduce significativamente el riesgo de infecciones parasitarias graves.
Lecciones médicas del caso
El caso del señor Li subraya cómo un hombree descubre un parasito en su cerebro y resalta la importancia de la higiene alimentaria. La detección temprana y la atención médica inmediata pueden marcar la diferencia entre una recuperación completa y daños neurológicos severos.
