Reprimir un estornudo puede ser dañino, un hombre se perforó la tráquea
 
						 
			La Chispa te trae una noticia médica que ha causado revuelo entre los especialistas: Reprimir un estornudo puede ser dañino, y no solo un poco. Un insólito caso en Escocia ha puesto en alerta a médicos de todo el mundo. Un hombre de 30 años sufrió una perforación en la tráquea tras contener un estornudo mientras conducía. Aunque parezca increíble, este acto cotidiano casi le cuesta la vida.
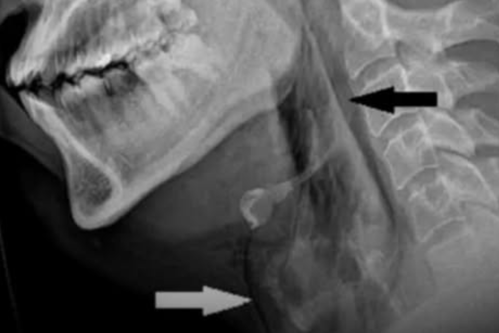
El caso clínico que desconcertó a los médicos
Todo sucedió mientras el paciente manejaba y trató de evitar estornudar cerrando nariz y boca. Inmediatamente sintió un dolor punzante en el cuello y buscó ayuda en el hospital Ninewells en Dundee. Los médicos notaron crujidos bajo la piel y un movimiento anormal en la tráquea.
Tras realizarle estudios de imagen, se reveló una perforación traqueal espontánea, algo extremadamente raro que normalmente solo se ve tras traumatismos fuertes o procedimientos quirúrgicos. El caso fue documentado en la revista médica BMJ Case Reports.

Reprimir un estornudo puede ser dañino: No es una exageración
Reprimir un estornudo puede ser dañino porque la presión que se genera al contenerlo puede ser hasta 20 veces mayor a la normal. Esta sobrepresión puede causar desde pequeños desgarros musculares hasta sangrados cerebrales.
Además, pueden ocurrir lesiones como:
- 
Ruptura de vasos sanguíneos 
- 
Hemorragias oculares 
- 
Daños en los senos paranasales 
- 
Complicaciones auditivas 
Aunque son casos poco comunes, los médicos advierten que no vale la pena arriesgarse por evitar un momento de incomodidad.

Cómo estornudar de forma segura (y sin vergüenza)
Los especialistas aconsejan dejar que el estornudo ocurra de manera natural, pero siempre cubriéndolo de forma higiénica. Usa el codo o un pañuelo, pero nunca la mano directamente. Esto no solo evita contagios, sino que protege tu salud interna.
Además, recuerda que el estornudo es un mecanismo natural de defensa. Reprimirlo para “no molestar” o por cortesía puede tener efectos contraproducentes.
 
		
