Now Reading
Pocos casos de tuberculosis en Campeche

Pocos casos de tuberculosis en Campeche

Pocos casos de tuberculosis en Campeche

Se debe a que la vacuna contra la tuberculosis se encuentra dentro del esquema de vacunación del recién nacido

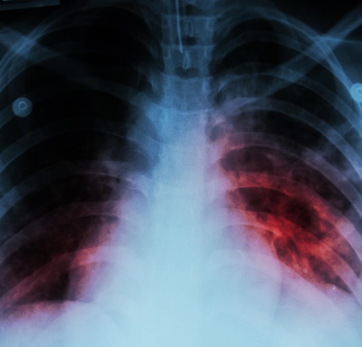
Ciudad del Carmen, Camp.__ Pocos casos de tuberculosis en el estado de Campeche; de acuerdo con la Secretaría de Salud a nivel nacional, en el 2022, se registraron 28 mil casos de tuberculosis (TB), por lo tanto en el estado de Campeche, es mínima la incidencia, La tuberculosis es una bacteria que suele afectar a los pulmones, se propaga por el aire cuando una persona infectada tose, estornuda o escupe, dijo el presidente de la Asociación de Médicos Egresados de la Universidad Veracruzana, AC, Froilán Palestino Cruz.

Pocos casos de tuberculosis en Campeche

Expresó que el control que tiene esta enfermedad en el país, se debe a que dentro del esquema de vacunación de los recién nacidos se les aplica la vacuna que previene la tuberculosis. Si en algún momento al recién nacido no se le aplica la vacuna, puede presentar el cuadro de tuberculosis por la bacteria y se le puede producir un cuadro mayor.

La tuberculosis tiene tratamiento

Indicó que, la tuberculosis tiene tratamiento, pero si no se diagnostica a tiempo puede presentar hasta la muerte. Si tienes tuberculosis latente, el médico podría recomendarte un tratamiento con medicamentos si presentas riesgos altos de tener tuberculosis activa; para la tuberculosis activa el médico recomienda, tomar antibióticos por lo menos por seis a nueve meses.

Pocos casos de tuberculosis en Campeche

“Los medicamentos exactos y la duración del tratamiento dependen de la edad del paciente, estado general de salud, posible resistencia a los medicamentos y dónde se encuentra la infección en tu cuerpo”, manifestó.

Te puede interesar:  Llaman a prevenir la tuberculosis

See Also
Tarifa de Verano en Campeche: Todo lo que debes saber

Agregó que el tratamiento de la tuberculosis no es costoso para la persona, porque se encuentra dentro del cuadro básico del sector salud y esa institución a través de sus programas brindan el tratamiento para esa enfermedad y la vigilancia epidemiológica.

Pocos casos de tuberculosis en Campeche

Manifestó que una persona que contiene la bacteria de tuberculosis debe estar totalmente en resguardo y llevar su tratamiento, porque puede contagiar a las personas que se encuentran a su alrededor, en este caso a su familia.


© 2024 Grupo Transmedia La Chispa. Todos los derechos reservados

Scroll To Top