6 personas con gusanos en el cerebro por comer carne de oso
Hemos hablado varias veces de como la medicina está llena de historia únicas y muy llamativas, este tipo de situaciones no paran de surgir. Un ejemplo reciente es el caso de una mujer que tenía más de 100 gusanos dentro de su boca. Ahora hablaremos de otro caso totalmente diferente pero que también involucra una infestación de gusanos. Se dio a conocer que a 6 personas se les encontró gusanos en el cerebro, todo por comer carne de oso mal preparada.
El caso ocurrió en 2022, pero por alguna razón los Centros de Control y Prevención de Enfermedades (CDC) no habían emitido el reporte hasta ahora.

6 personas con gusanos en el cerebro.
Esto ocurrió en Dakota del Sur, Estados Unidos y se podría decir que fue una situación un tanto afortunada pues sucedió en una comida familiar donde había decenas de integrantes y muchas más personas pudieron infectarse. Uno de los miembros de la familia había conseguido varios kilos de carne de oso negro y decidieron congelarla para matar todos los parásitos que pudiera tener, obviamente esto no funcionó. La carne estuvo congelada por 45 días y cuando llegó el día de la reunión decidieron hacer brochetas con ella, pero por su color oscuro no podían saber sí estaba bien cocida o no. Estás 6 personas fueron las primeras en comer y se dieron cuenta que los alimentos estaban todavía un poco crudo, por lo que avisaron a los demás y pusieron todo de nuevo al fuego.
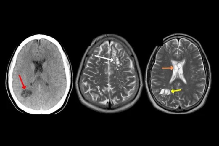
Poco después estás personas empezaron a presentar fiebre, dolores musculares intensos, hinchazón alrededor de los ojos y recuento alto de glóbulos blancos. Los síntomas empeoraban cada vez más por lo que fueron al hospital, ahí se le diagnosticó a los 6 con triquinelosis, que en palabras simples es infección cerebral por gusanos.

Los 6 pacientes fueron atendidos con fuertes médicos para eliminar los parásitos y después de unas semanas en el hospital se les dio de alta. Ninguno presento secuelas ni afectos adversos y lograron seguir con sus vidas como si nada hubiera pasado. Los expertos dicen que todo fue mala suerte pues congelar la carne es un buen método antiparásitos, el problema era que está carne en específico estaba infectada con “Trichinella nativa” unas larvas muy poco comunes resistentes justamente a la congelación.
